
6ヵ月前に、嚢胞摘出術と歯根端切除術を行った症例です。今回、レントゲン写真を撮影して術前との比較をしました。まずは6ヵ月前の手術の状況です。
女性 57才
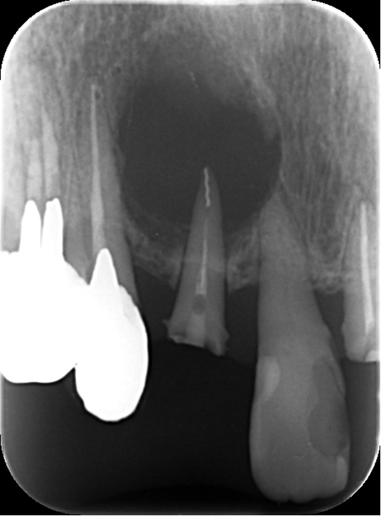
他の歯科医院で治療中です。セカンドオピニオンを希望され来院されました。むし歯が大きかったのでしょう、歯冠は削られてすでにありません。歯根のみ残っています。レントゲンでは歯根の周りに大きな歯根嚢胞が認められます。
歯根嚢胞とは、根管治療がうまくいかなかった場合根管の中の細菌が骨に侵入して骨を溶かし、歯根の周りに袋状に骨が溶けて、膿などの液体がたまる病気です。根管治療がなされていますが、根管の先端に根管治療用の針が折れて残っています。この状態では根管の細菌を死滅させることはできません。
治療方針は
術前の状態
根管治療
根管充填の材料は除去しましたが、針がまだ残っています。
根管治療 2回目
針が根管の先から嚢胞の中に出ています。本当は根管を拡大して取り出すほうがいいのですが、余りそれにこだわると根管を削り過ぎて歯が弱くなります。
今回は、嚢胞摘出術を行うのでその時に除去するので全く問題はありません。根管が開通したので嚢胞の中の膿が根管を通してどっと出て来ました。クリーム色の膿が流れ出ています。
嚢胞摘出術及び根管充填、針除去、歯根端切除術
感染予防のため1日前から抗菌剤を飲んでもらい嚢胞摘出術を行いました。根管充填を行い、根尖を2~3mm切除(歯根端切除術)、逆充填により歯根端を封鎖しました。除去した針は約3mm折れていました。半年ほどすると骨が回復してきます。その時また報告したいと思います。
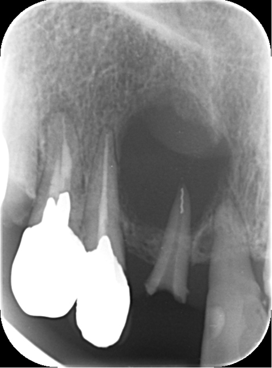
6ヶ月経過しました。
6ヶ月後のレントゲン(右側)を術前のレントゲン(左側)を比較します。かなり改善され骨が新生しています。順調です。