
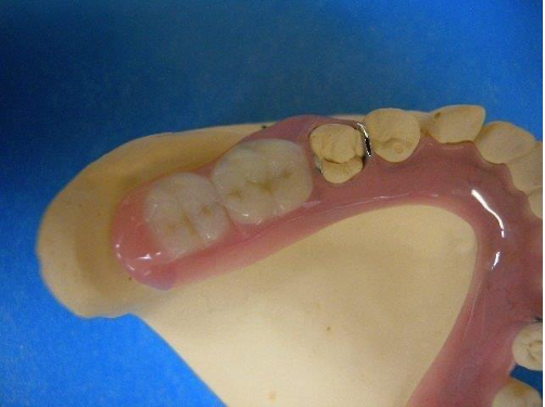
作成用模型と完成したミラクルデンチャー
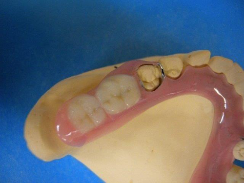
まず、右5番にキーを合わせます
次に、左5番にロックを合わせます
ミラクルデンチャーにはキーとロックと言う概念があります。キーは初めに合わせる部位、ロックは最後に合わせる部位です。外すときはロックを外します。ミラクルデンチャーは従来の義歯よりピッタリフィットして異物感が少なく、見た目も入れ歯を入れているようには見えません。
ロックが合って装着されました。
装着された全体像です。
装着
実際に患者さんの口に入れて合わせる時は必ず調整が必要になります。模型でぴったりにできていても、実際の口の中ではずれが出てきます。歯型を取って外すときに少しの変形があります。石膏を流して硬化するとき少しの変形があります。義歯を作るとき樹脂が硬化するときに少しの変形があります。少しの変形も積み重なると、完成した義歯は口の中に装着するとき、噛み合わせが高い又は低い、歯肉に強く当たる又は隙間がある、バネがきつい又は緩いなどを調整します。
この症例の場合は即時義歯です。前回のお知らせと同じ患者さんです。前回は上顎、今回は下顎です。歯を抜く前に歯型を取って、模型上で抜歯予定の歯を削り取りミラクルデンチャーを作成します。普通はあらかじめ抜歯をして歯肉が治るのを2ヶ月ぐらい待って作成しますが、それではご飯が全く噛めない場合に即時義歯にします。血も出ますし調整が難しいです。調整して終了するまで約1時間かかりました。
次回は実際にご飯を食べて出来るだけ早く(出来たら次の日)調整をします。そして、1週間後にもう一度調整をして終了になることが多いです。