いなだ歯科医院

【住所】 〒721-0942 広島県福山市引野町4-20-30
【受付時間】 9:00-18:00(平日) 9:00-13:00(水・土)
【休診日】 日曜、祝日、水曜午後、土曜午後
(お盆)8月13~15日、(年末年始)12月29日~1月4日

一般歯科、小児歯科、予防歯科、ミラクルデンチャー

【住所】〒721-0942 広島県福山市引野町4-20-30
【受付時間】9:00-18:00(平日) 9:00-13:00(水・土)【休診日】日曜、祝日、水曜午後、土曜午後
(お盆)8月13~15日、(年末年始)12月29日~1月4日
なぜ、いなだ歯科医院には他県から患者さんが来院するのか
住所 〒721-0942 広島県福山市引野町4-20-30
平日 9:00-18:00(平日) 9:00-13:00(水・土)
休診日 日曜、祝日、水曜午後、土曜午後
(お盆)8月13~15日、(年末年始)12月29日~1月4日
フリーダイヤルでのご予約はこちら

お知らせ

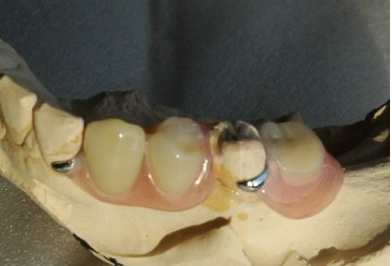
今週の症例 ミラクルデンチャー 左下3、4、6番欠損

投稿:2025年12月5日

側方から見たところです。2、5番の生え際に少し金属が見えますが、実際のところ人からは全く見えないので入れ歯とは気づかれません。

上から見たところです。最初に2番に合わせます。

2番に合わせたところです。次に5番に合わせます。

5番に合わせ装着しました。ミラクルデンチャーはぴったり装着できて異物感の少ない入れ歯です。

いなだ歯科医院へのご予約はこちらから。お気軽にご来院ください。

電話 ご予約はこちら
電話
院長ブログ
ブログ

いなだ歯科医院へのご予約はこちらから。お気軽にご来院ください。

電話 ご予約はこちら
電話
ページの先頭へ
Copyrights©. 広島県福山市 引野小入口近くの歯科医院 | 東福山駅から車で5分のいなだ歯科医院 2019. All rights reserved.