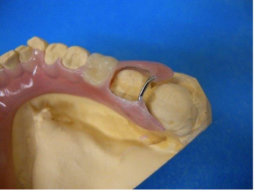
完成したミラクルデンチャーと作成用模型
斜め上から見たところです
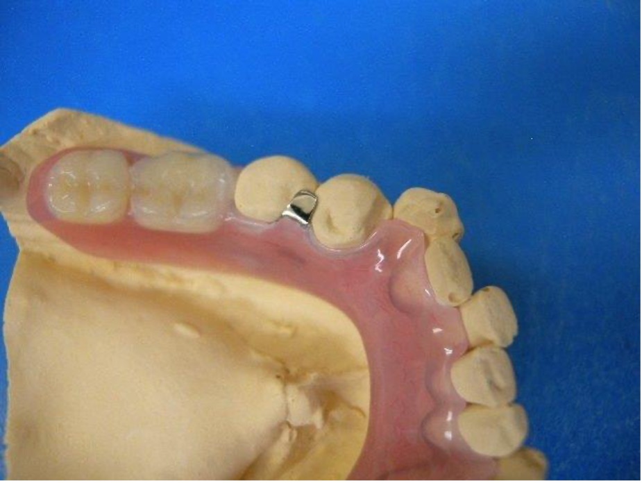
正面から見たところです
初めに左を合わせます。
左が合ったところです
次に右を合わせます
右が合ったところです
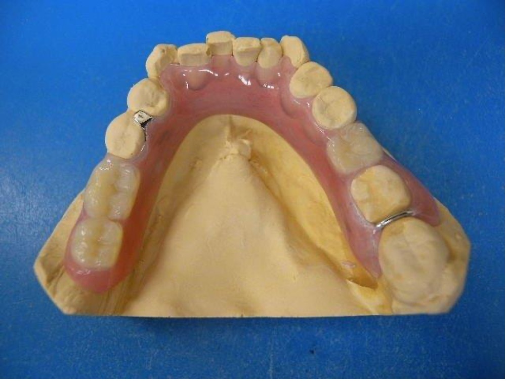
全体観です
ミラクルデンチャーは従来の入れ歯と違い、よりピッタリと適合し、違和感、異物感の少ないよく噛める入れ歯です。残っている歯と一体化して長持ちします。また、見た目もほとんど入れ歯を入れているようには見えません。
トップページ
初めての患者さんへ
患者さんへのお約束
院内紹介
院長紹介
診察の流れ
患者さんの声①
患者さんの声②
患者さんの声③
推薦者の声①
推薦者の声②
推薦者の声③
アクセス・地図
お問い合わせ
一般歯科
歯周病
予防歯科
小児歯科
小児矯正・矯正歯科
根管治療
審美・義歯
ミラクルデンチャー
自費診療料金表